Home
Expert Answers
Place Order
How It Works
About Us
Contact Us
Sign In / Sign Up
Sign In
Sign Up
Home
/
Expert Answers
/
Anatomy and Physiology
/ onto-the-image-label-hepatic-veins-a-cord-and-connective-tissue-no-explaniations-just-labeling-pa983
(Solved): onto the image label: hepatic veins, a cord, and connective tissue. no explaniations just labeling ...
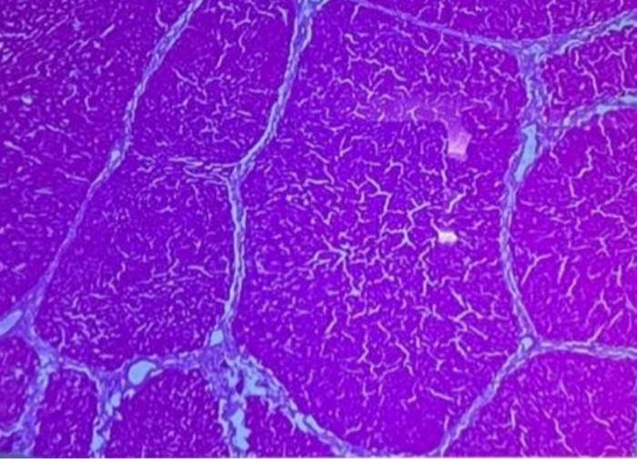
onto the image label:
hepatic veins, a cord, and connective tissue.
no explaniations just labeling
We have an Answer from Expert
View Expert Answer
Expert Answer
We have an Answer from Expert
Buy This Answer $5
Place Order
We Provide Services Across The Globe
Order Now
Go To Answered Questions